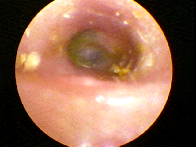
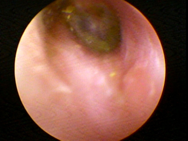
Không nên tự chữa viêm tai giữa cấp - mãn tính

Tai được chia làm ba phần bao gồm tai ngoài, tai giữa và tai trong ...

Các bác sỹ Hoa Kỳ khuyến cáo về việc rửa tay thường xuyên trong ngày

Các Bác sỹ Hoa kỳ khuyến cáo về việc rửa tay thường xuyên trong ngày bằng xà phòng, nhất là ở những thời điểm dễ dơ tay ...

Thứ 2 đến Thứ 6 : 17h - 20h

Thứ 7 - Chủ nhật :

     Sáng : 9h - 11h15

     Chiều : 15h - 20h

0383309896 - (024)22402270

Để nghe tư vấn về các bệnh lý Tai Mũi Họng và phương pháp điều trị :   PGS.TS.BS Phạm Trần Anh    0913526370 - 0988362616 ĐẶT LỊCH KHÁM
Không nên tự chữa viêm tai giữa cấp - mãn tính

Tai được chia làm ba phần bao gồm tai ngoài, tai giữa và tai trong ...

Các bác sỹ Hoa Kỳ khuyến cáo về việc rửa tay thường xuyên trong ngày

Các Bác sỹ Hoa kỳ khuyến cáo về việc rửa tay thường xuyên trong ngày bằng xà phòng, nhất là ở những thời điểm dễ dơ tay ...

Tin tức hàng ngày

Đột quỵ thanh quản

Những biểu hiện mất hẳn tiếng nhanh chóng được gọi là "Đột quị thanh quản" ...

Tin tức hàng ngày

Đau đầu quanh hốc mắt

Đau đầu là vấn đề thường xảy ra đối với mỗi chúng ta ...

Tin tức hàng ngày

Cách chăm sóc mũi họng khi thời tiết trở lạnh

Cách chăm sóc để không bị khô mũi, viêm mũi họng khi thời tiết trở lạnh ...

Tin tức hàng ngày

Cùng đồng hành với Bác sỹ Tai Mũi Họng hạn chế tái phát của bệnh viêm xoang mãn

Người bệnh cần có những biện pháp, chế độ ăn uống hợp lý để kiểm soát sự phát triển của các vi khuẩn gây xoang ...

Tin tức hàng ngày

Videos

Nội soi tai mũi họng cho bệnh nhân

Videos

Đặt OTK cho bệnh nhân